
Trusted by 10,000+ Smiles Since 1981
Prioritized One-on-One Care
Top-Rated Smile Specialists in Navi Mumbai
By submitting, you agree to be contacted for consultation scheduling only.
Expertly designed smile transformations using the latest in precision digital scanning and 40+ years of specialist experience

Trusted by 10,000+ Smiles Since 1981
Prioritized One-on-One Care
Top-Rated Smile Specialists in Navi Mumbai
Expertly designed smile transformations using the latest in precision digital scanning and 40+ years of specialist experience

45+ Years of Trusted Expertise

Thousands of 5-Star Smile Success Stories

Top-Rated Smile Destination on Google

10,000+ Smile Success Stories
Why Patients Across Navi Mumbai Choose Us for Aligners & Braces
45+ Years of Specialist Expertise in advanced dentistry
Gold-certified expertise in aligners & braces
Digitally planned aligners & braces
10,000+ Successful Smile Journeys over decades
Precision Digital Smile Mapping
Transparent consultation & flexible payment options
Terms and Conditions apply
By submitting, you agree to be contacted for consultation scheduling only.
Different smiles have different alignment patterns.

How Advanced Teeth Straightening Is Planned the Right Way
CLICK PLAY BUTTON TO WATCH VIDEO
Dr. Mukta Mehta
Specialist in Digital Smile Design & Clear Aligner Technology
By submitting, you agree to be contacted for consultation scheduling only.
Aligners or Braces – Discover Your Perfect Fit
t Dr. Pankaj Mehta’s, your smile transformation is designed using advanced digital mapping and expert planning—not shortcuts. We guide you toward the best path based on your lifestyle goals, comfort, and long-term smile stability.
Our expert team is led by specialists who also train others in the latest modern smile technology. With decades of experience, we help you make an informed choice that prioritizes your confidence and predictable results.

Understanding the Difference Between Aligners and Braces
Clear Aligners (The Discreet Choice):
Nearly invisible and wire-free for a confident, natural look.
Easily removable—enjoy your favorite foods and maintain easy care.
Designed using precision digital planning for your comfort.
Traditional Braces (The Time-Tested Path):
A reliable, fixed option used for various alignment goals.
Consistent progress without the need to remove trays.
Available in modern metal, ceramic, or self-ligating options.
💬 Not sure which option suits you? A consultation can help explain the choices.
By submitting, you agree to be contacted for consultation scheduling only.
Four Simple Steps to Your New Smile.

Schedule your assessment with our expert team to find your perfect smile fit

Get a digital teeth scan at the clinic to map your new smile.

Smile Planning & Review is explained using digital tools, and adjustments are discussed if required.

Proceed with aligners or braces as designed in your smile plan.
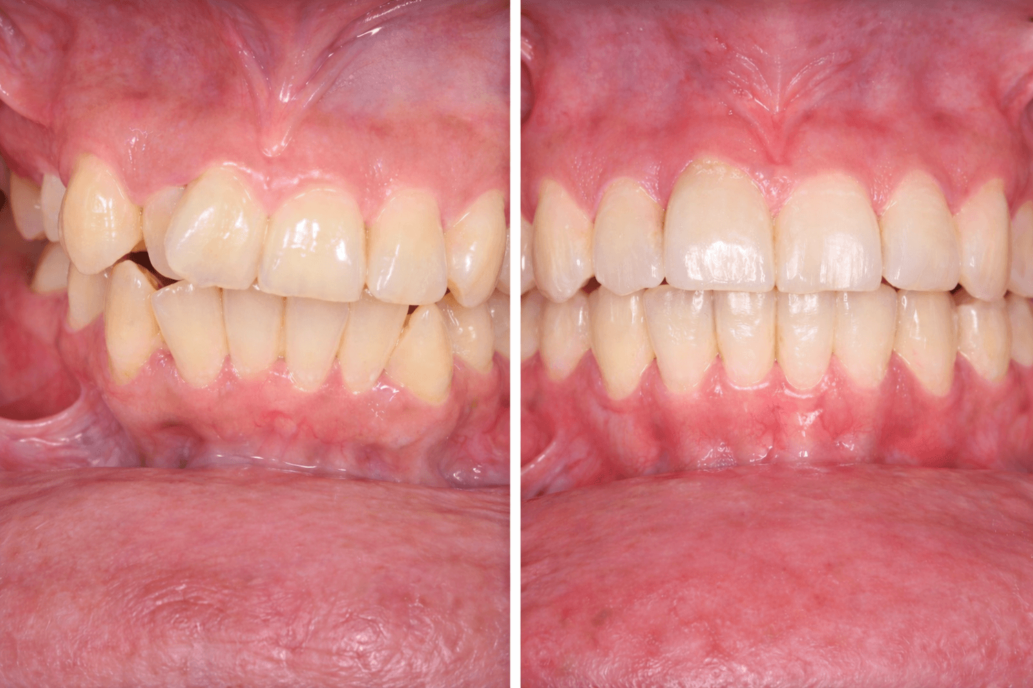
Recent Smile Success Stories




Results may vary based on individuals
By submitting, you agree to be contacted for consultation scheduling only.
Recent Smile Success Stories
Results may vary based on individuals
Don't Believe Us?
See what our Clients are saying ...
Real Patients, Real Stories .....
*Patient experiences vary. Individual treatment plans and outcomes depend on clinical evaluation.*
By submitting, you agree to be contacted for consultation scheduling only.

Google Reviews
500+ verified Reviews

Average rating of 4.9
Meet the Doctor Guiding Your Dental Care

Dr. Mukta Mehta is a specialist in creating confident smiles through modern technology. Dedicated to helping people in Navi Mumbai, she holds advanced credentials in digital smile design and is recognised as a Top Invisalign Expert and is recognised as Navi Mumbai’s Top Invisalign Expert as well as awarded Invisalign Gold Provider status.
She has received recognition for Best State-of-the-Art Dental Practice of the Year and has completed advanced training in Lingual Orthodontics from Kyungpook University, South Korea, under world-renowned orthodontic expert Dr. Hee-Moon Kyung. Alongside her clinical practice, she plays an active role in advancing orthodontic education through NEXT LEVEL DENTISTRY, India’s premier dental education and research centre that trains hundreds of dentists annually.
Meet the Doctor Guiding Your Dental Care

Dr. Mukta Mehta is a specialist in creating confident smiles through modern technology. Dedicated to helping people in Navi Mumbai, she holds advanced credentials in digital smile design and is recognised as a Top Invisalign Expert and is recognised as Navi Mumbai’s Top Invisalign Expert as well as awarded Invisalign Gold Provider status.
She has received recognition for Best State-of-the-Art Dental Practice of the Year and has completed advanced training in Lingual Orthodontics from Kyungpook University, South Korea, under world-renowned orthodontic expert Dr. Hee-Moon Kyung. Alongside her clinical practice, she plays an active role in advancing orthodontic education through NEXT LEVEL DENTISTRY, India’s premier dental education and research centre that trains hundreds of dentists annually.
By submitting, you agree to be contacted for consultation scheduling only.
By submitting, you agree to be contacted for consultation scheduling only.
Frequently Asked Questions about Clear Aligners
Aligners are effective for treating mild to moderate cases. Severe cases may require alternative treatments.
Its not painful to wear , some initial pressure and little discomfort is normal
The timeline varies depending on individual needs, but noticeable results with aligners can often be seen within 4-6 months. Full treatment duration depends on complexity.
Many dental insurance plans offer partial coverage for orthodontic treatment. We can help you check your benefits.
Yes, one of the biggest advantages of aligners is that you can remove them to eat, drink, brush, and floss.
Clear Aligner costs vary based on treatment duration and complexity, We offer flexible payment plans for affordability.
Goodwill Excellency, 1103, Above Tanishq Showroom, Sector 17, Vashi, Navi Mumbai, Maharashtra 400703
Email:
Open Hours
Mon-Sat: Morning 10 AM–8 PM
Sunday : Closed

Proudly made by AdvrtU
© Dr. Pankaj Mehta's Dental Care 2026, All Rights Reserved.
This website is not a part of Facebook or Facebook Inc. Additionally, this site is NOT endorsed by Facebook in any way. FACEBOOK is a trademark of FACEBOOK Inc.
Get One-on-One Clinic Consultation
By submitting, you agree to be contacted for consultation scheduling only.
Disclaimer: Your data is safe & will only be used for scheduling your consultation. We do not share it with third parties.